Bütün insanların ağıl dişləri  olmur - Onlar nəyə lazımdır?
07 fevral 2026 12:06 (UTC +04:00)

Bütün insanların ağıl dişləri olmur - Onlar nəyə lazımdır?

0

Bəzi insanlarda ağıl dişləri ağrılı şəkildə çıxır, bəzilərində illərlə çənə sümüyünün içində qalır, digərləri isə onların, ümumiyyətlə, olmadığını yalnız rentgen müayinəsi zamanı öyrənir.

Lent.az xarici mediaya istinadla xəbər verir ki, ağıl dişləri, yəni üçüncü azı dişləri adətən 18-24 yaş arasında çıxır və çox vaxt çənə üçün son sınaq kimi qiymətləndirilir.

Lakin mütəxəssislər bildirirlər ki, hər kəs bu mərhələni yaşamır. Bəzi insanlarda ağıl dişləri heç vaxt formalaşmır və bu, anomaliya deyil, tamamilə normal hal sayılır. 

Mütəxəssislərin sözlərinə görə, ağıl dişləri evolyusiya baxımından qədim insanların irsidir. Keçmişdə insanların çənə quruluşu daha böyük olub və qidaları daha sərt, çeynəməsi çətin olub. Çiy ət, köklər və bərk bitkilərin parçalanması üçün əlavə azı dişlərinə ehtiyac yaranıb. Zamanla qida rasionu yumşalıb, çənələr isə kiçilib. Nəticədə müasir insanın çənəsində bütün 32 diş üçün kifayət qədər yer olmur.

Ağıl dişlərinin ümumiyyətlə olmamasının tibbi adı da var. Bu hal agenesiya adlanır və ən çox üçüncü azı dişlərinə təsadüf edir. Statistikaya görə, dünya üzrə insanların təxminən 10–41 faizində ən azı bir ağıl dişi yoxdur, bəzilərində isə ümumiyyətlə formalaşmır.

Bunun əsas səbəbləri arasında genetika xüsusi yer tutur. Valideynlərdə ağıl dişlərinin olmaması bu ehtimalı artırır. Araşdırmalar həmçinin göstərir ki, qadınlarda üçüncü azı dişlərinin olmaması kişilərlə müqayisədə bir qədər daha çox müşahidə edilir. Etnik mənsubiyyət, uşaqlıq dövründə qidalanma, sosial-iqtisadi şərait və üz-çənə ölçüləri də bu prosesə təsir göstərə bilər.

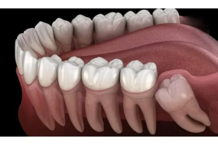
Hətta ağıl dişlərinin rüşeymləri formalaşsa belə, onların mütləq çıxacağına zəmanət yoxdur. Gənc yetkinlərin təxminən 80 faizində ən azı bir ağıl dişi retensiyalı olur, yəni çənənin içində gizli qalır. Belə dişlər yana əyilərək çıxa, qonşu dişlərə söykənə və ya ümumiyyətlə səthə çıxmaya bilər. Məhz bu cür hallarda ağrı, iltihab, infeksiya və diş sırasının pozulması riski artır.

Stomatoloqlar bildirirlər ki, hər kəsdə ağıl dişlərinin mütləq çıxarılması vacib deyil. Əgər dişlər düzgün mövqedə çıxıbsa, digər dişlərə mane olmursa və normal təmizlənə bilirsə, illərlə problemsiz qala bilər.

Dişlərin çıxarılması adətən ağrı, şişkinlik, təkrarlanan iltihablar, diş sıxlığı, kariyes riski və ya kista yaranması hallarında tövsiyə olunur. Qərar isə hər zaman fərdi müayinə və rentgen nəticələrinə əsasən verilir.

Mütəxəssislər vurğulayırlar ki, ağıl dişlərinin olmaması təhlükəli deyil və çeynəmə, dişləmə və ya ağız boşluğunun ümumi sağlamlığına mənfi təsir göstərmir. Bu dişlər daha çox evolyusion qalıq hesab olunur. Onlarla bağlı problemlə üzləşmək də, ümumiyyətlə, onlara sahib olmamaq da norma sayılır.

Müasir stomatologiya bu məsələyə praktik yanaşır: problem yaratmırsa saxlanılır, risk yaradırsa çıxarılır, yoxdursa isə narahatlığa əsas yoxdur.

1 2 3 4 5 İDMAN XƏBƏRLƏRİ
0
# 1580

Oxşar yazılar